Teeth cleaning and polishing
Free30 min
X/530A ISHAAN'S ARCADE NEAR CHAKKANAAD TEMPLE CHULLICKAL COCHIN-5, opposite Apollo pharmacy, Kochi, Kerala 682005
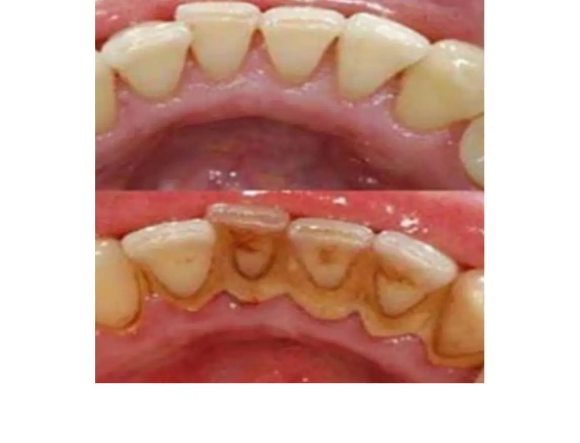
Remove stains, plaque, and bad breath with gentle cleaning and polishing. Get fresher breath and a naturally brighter, healthier smile in one quick visit
Reach Us
X/530A ISHAAN'S ARCADE NEAR CHAKKANAAD TEMPLE CHULLICKAL COCHIN-5, opposite Apollo pharmacy, Kochi, Kerala 682005
Contact Us
Request call back
© 2026. All rights reserved.
Hours
Monday - Friday
9:30am - 8:30pm
Sunday
Closed
